Seleccionar Página

Nuestros servicios ofrecen

Implementación de Tecnología Diagnóstica

Optimización de la Ubicación y Accesibilidad

Personalización de la Experiencia del Paciente

Entre otros..Enfoque en la Educación y Prevención

Tratamientos que ofrecemos

Especialidad de la odontología que trabaja en equipo con las demás especialidades en odontología, para dar tratamiento a casos severos de perdida de dientes y enfermedad oral. Respetando los órganos dentales al máximo, logramos restaurar la estética y función masticatoria.

(656) 270-9400

Diseño de sonrisa

Es un conjunto de tratamientos estéticos personalizados (como carillas, coronas, blanqueamiento, recortes gingivales) que buscan armonizar el color, forma y tamaño de tus dientes para lograr una sonrisa más atractiva y natural.

 

Carillas dentales

Prótesis dental estética, de mínima invasión, que corrige color, forma y tamaño de los dientes naturales. Son diseñadas de manera personalizada, considerando las características y proporciones faciales de cada paciente, mediante el diseño de sonrisa.

Limpiezas dentales

Procedimiento en el que se eliminan restos de alimento sobre los dientes, como la placa bacteriana y el sarro, que el cepillado ya no puede quitar. Ayudan a prevenir enfermedades de las encías, mantener el aliento fresco y conservar una sonrisa sana.

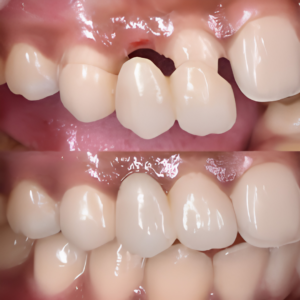
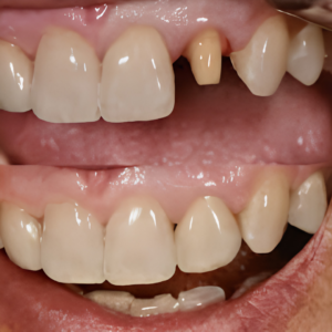
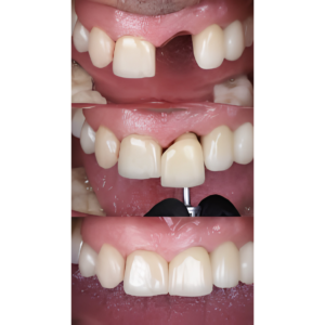
Prótesis e implantes

Ante la ausencia de dientes, la implantología permite la colocación de prótesis dental, muy similar al diente natural, sin necesidad de desgastar o sobrecargar otros dientes, permitiendo restaurar dientes, estética dental y correcta función masticatoria.

Rellenos de resina

Cuando un diente pierde estructura, por caries, traumatiusmos o algunos tipos de desgaste, es posible de ser restaurado con materiales de restauración directa, como la resina, devolviendo la función masticatoria, estéticamente.

Restauraciones dentales

Restauración que se hace fuera de la boca, auxiliados de tecnología digital. En l qiue se restaura partes del diente dañadas o perdidas, excelente opción para casos de dientes desgastados o fracturados que han perdido función y estética.

Coronas sobre dientes

Prótesis dental, es una opción para restaurar dientes con caries avanzada, fracturas ó pèrdidas de estructura dental severa: que permite restaurar el diente y mantenerlo funcional en boca.

Puentes dentales

Un puente dental es una prótesis dental fija que se usa para reemplazar uno o varios dientes que faltan. Se apoya en los dientes naturales o implantes que están a los lados del espacio vacío, y en el medio lleva uno o más dientes artificiales. Ayuda a recuperar la función al masticar, mejorar la apariencia y evitar que los dientes se muevan de su posición.